January 29, 2026 – OrthoSpineNews-
Authors: Steven Lyons MD, Gabriel Makar MD, Ethan Carey PA-C
Case Review
DH is a 72 year old male who presented to our clinic with worsening left hip pain. He has a well-known history of ongoing treatment for both spinal as well as hip pathology. He noted worsening groin pain with lack of motion limiting his daily activities. Conservative measures including physical therapy, home exercises as well as intra-articular corticosteroid injections to the left hip, were ineffective.
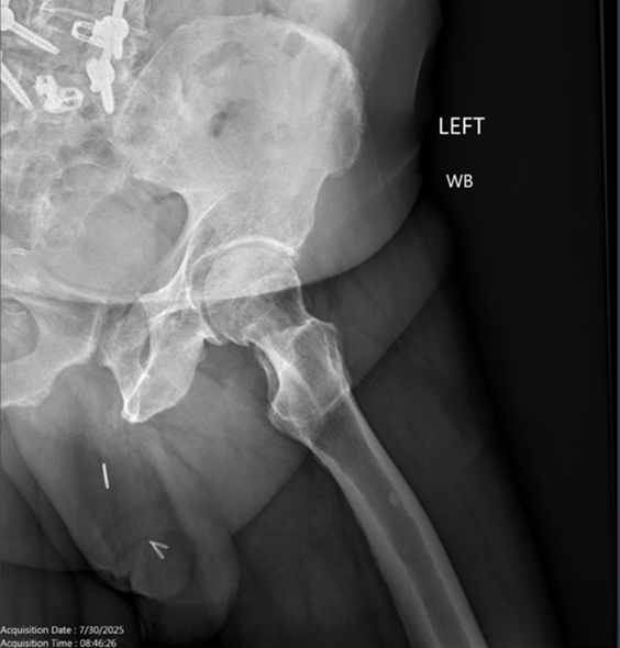
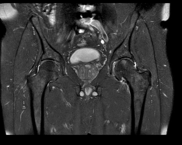
His radiographs in the clinic revealed left hip degenerative joint disease. Additionally, his pre-operative hip MRI revealed significant narrowing of the joint space and femoral head edema securing the diagnosis of degenerative joint disease. His exam was significant for limited internal rotation to no more than 5 degrees, a positive stinchfield test and an antalgic gait.
An in-depth discussion with the patient outlining operative and non-operative/conservative treatment options was initiated. The patient elected to move forward with operative management of his left hip arthritis given his worsening condition. Considering the patient’s significant spinal pelvic disorder (SPD), including his prior spinal fusion, various surgical options that may prevent post-operative dislocations were discussed. A major problem with SPD is the version and position of the acetabular component changes when the patient is sitting versus laying down because of the stiffness of the spine. This can substantially increase the risk of dislocation, impingement and instability after traditional hip replacement surgery.
One option discussed was the Reverse Hip Replacement System (HRS). With the Reverse HRS THA system, the traditional “ball and socket” design is reversed compared to the native hip and traditional hip replacement. This innovative device provides constant compressive force throughout the entire range of motion keeping the articulation stable even at the extremes of motion, unlike a traditional THA. One of the advantages of the Reverse HRS is the ability of the implant to stay stable and not have impingement even has the cup changes position in patients with SPD.
After the patient obtained his clearances and was optimized for surgery, the procedure took place without complication on December 16th, 2025. The patient underwent the procedure through a piriformis sparing posterior approach. Intra-operatively Radlink image guidance was used to optimize cup position as well as verify leg lengths and offset. Post-operatively the patient was able to ambulate well with therapy and subsequently was discharged home hours later, on post-operative day 0. Physical therapy and home health visited the patient on post-operative day 1 and verified appropriate ambulation and gait mechanics. At the patient’s two week post-operative visit, he demonstrated improved gait mechanics and was ambulating without the assistance of a cane or walker.
Furthermore, the patient was no longer using pain medication, stopping on post-operative day two. He noted no pain whatsoever after the first week from surgery and on the second week noted to be ambulating 3 to 4 miles without difficulty. His incision has healed well and he is free from any acute complications at this time. He further states that his current range of motion of his hip has even superseded what he was able to do prior to his hip wearing out. The patient remains very active and has demonstrated significant improvement from his pre-operative state.
Radiographs are noted below. Pre-op, Post-op and intra-op radiographs are found below as well as the pre-op MRI.
Figure Legend:
Figures 1, 2 and 3. AP of the Pelvis, AP of the Left Hip, and a Frog Leg Lateral of the Left Hip demonstrating left hip osteoarthritis.
Figure 4. Pre-operative MRI of the Pelvis demonstrating advanced left hip osteoarthritis as well as left femoral head edema.
Figure 5. Intra-op AP Pelvis radiograph with Radlink demonstrating advanced left hip osteoarthritis.
Figures 6 and 7. AP and Lateral of the Lumbar spine demonstrating previous lumbo-sacral fusion.
Figure 8, 9 and 10. AP pelvis, AP of the left hip, and lateral of the left hip demonstrating left reverse total hip arthroplasty without acute complication.
Pre-op Radiographs:

Figure 1.

Figure 2.

Figure 3.
Pre-op MRI:

Figure 4.
Pre-op Spine Images

Figure 5.

Figure 6.
Intra-operative Radiograph

Figure 7.
Post-op Radiographs

Figure 8.

Figure 9.

Figure 10.

Dr. Lyons is specialty trained in Adult Reconstruction. He completed a fellowship in joint replacement at the University of Utah. As a joint replacement surgeon, he has treated patients in the Tampa Bay area for over 25 years and has served on the Florida Orthopedic Institutes’ board of directors for the last 15 years. He is a member of the American Association of Hip and Knee surgeons and has served on the board of the Florida Orthopaedic Society for 11 years and was the past president of that organization presiding in 2019-2020.
Dr. Lyons has given numerous oral presentations and has instructed in many teaching conferences, labs, and live surgeries over the years. He continues to be actively involved in research, publishing yearly in orthopaedic journals, and serving on the editorial board of the Journal of Arthroplasty.

Dr. Gabriel Makar is an orthopedist in Temple Terrace, Florida. He completed his medical education at Cooper Medical School of Rowan University in 2020, followed by dual residencies in Orthopaedic Surgery from 2020 to 2025 at Geisinger Health System in both Wilkes Barre and Danville. His earlier experience includes working as a Research Assistant at Columbia University Vagelos College of Physicians and Surgeons from 2015 to 2016. Dr. Makar has
published several articles in reputable journals such as The Journal of Arthroplasty and Journal of Surgical Education, focusing on topics like discharge risk calculators, AI in orthopaedics, pediatric fractures, collaborative orthoplastic approaches, and postoperative communication.