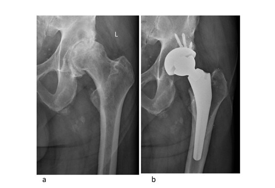
a) Pre- and b) postoperative radiographs of the Hip Innovation Technology Hip Replacement System implanted with radiostereometric analysis beads.
October 21, 2025 – OrthoSpineNews –
We presented updated data from a study assessing the Reverse Hip Replacement System’s (Reverse HRS) stability and wear rates with up to 5 years of patient follow-up employing radiostereometric analysis. These data were presented during a plenary session at the 2025 International Society for Technology in Arthroplasty (ISTA) in Rome, Italy.
This novel reverse total hip arthroplasty (RTHA) design has been developed with enhanced mechanical stability at extremes of motion by reversing the articulating surfaces using a femoral cup and acetabular ball. The purpose of this study was to assess the implant-bone fixation using radiostereometric analysis (RSA), assess the linear wear of the cross-linked polyethylene insert and monitor the clinical safety and efficacy of this novel design.
A total of twenty-two patients diagnosed with OA participated in this single-center device investigation study. Each participant received an RTHA using the Reverse HRS. Before implant placement, RSA markers were embedded in the innominate bone and proximal femur. Migration between implants and bone, along with polyethylene linear wear, was evaluated using Model-Based RSA at 6 weeks (baseline), 6, 12, 24, and 60 months post-surgery. PROMs data was gathered before surgery and during each follow-up visit.
The study group included 11 women and 11 men with an average age of 70.8 years and a body mass index of 31.3 kg/m². Average femoral displacement from initial measurement at 6, 12, 24, and 60 months measured 0.01±0.12 mm, 0.00±0.19 mm, 0.00±0.19 mm, and -0.06±0.21 mm, all remaining under the established limit of 1.5 mm (p < 0.0001), respectively. Average acetabular movement was 0.06±0.10 mm, 0.08±0.11 mm, 0.06±0.14 mm, and 0.09±0.15 mm, all staying below the established limit of 1 mm (p < 0.0001). Polyethylene wear measured 0.11±0.05 mm, 0.11±0.05 mm, 0.10±0.05 mm, and 0.19±0.16 mm, respectively. PROMs data showed significant enhancement in functionality and pain reduction with RTHA.
The data we presented at ISTA included 20 additional subjects that completed RSA collection up to 2 years without acetabular screws and have demonstrated stabile fixation well below published thresholds. This is predictive of low risk of aseptic loosen at 10 years.
The research determined that both the femoral and acetabular parts showed secure fixation after 5 years when evaluated using RSA, indicating minimal risk of future aseptic loosening. The polyethylene linear wear measurements were near detection thresholds and within normal ranges. The findings demonstrate satisfactory radiographic safety and clinical performance of this innovative reverse hip replacement design.
By: Thomas Turgeon, MD, Associate Professor, Max Rady College of Medicine
